+918048031926

DRSHEETALRADIA https://www.drsheetalradiaentclinic.com
Preview

This is your website preview.

Currently it only shows your basic business info. Start adding relevant business details such as description, images and products or services to gain your customers attention by using Boost 360 android app / iOS App / web portal.

917506075076

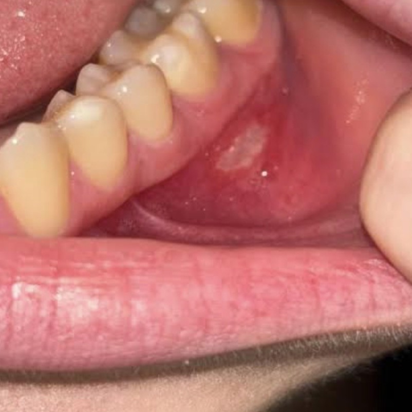
Non-Healing Oral Ulcers Should Not Be Ignored_By Dr. Sheetal Radia, ENT & Head & Neck Cancer Surgeon

2025-12-19T19:21:22
services