+918048031926
Currently it only shows your basic business info. Start adding relevant business details such as description, images and products or services to gain your customers attention by using Boost 360 android app / iOS App / web portal.

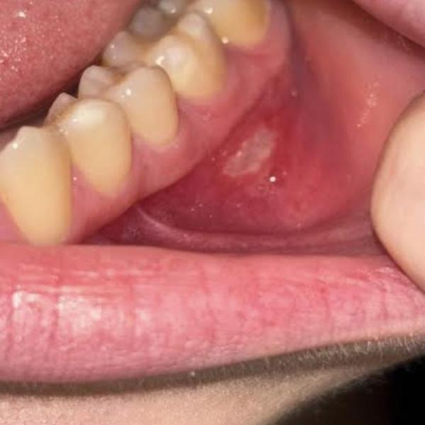
Non-Healing Oral Ulcers Should Not Be Ignored_By Dr. Sheetal Radia, ENT & Head & Neck Cancer Surgeon
View DetailsNon-Healing Oral Ulcers Should Not Be Ignored_By Dr. Sheetal Radia, ENT & Head & Neck Cancer Surgeon
View DetailsOral cancer refers to cancers that develop in the ...
View Details
Mouth cancer (oral cancer) is due to uncontrolled...
View Details
Salivary gland swelling can be caused by various c...
View Details
What is Tonsilloliths? It is also known as Tonsil ...
View Details
Bleeding Through the Nose and Mouth – When to Seek Help of best ENT specialist near me By Dr. Sh
View DetailsOtomycosis also known as fungal infection of the e...
View Details